Comunicaciones: Casos clínicos

Tumores de partes blandas. Cuando la ecografía nos aporta luz a las sombras. (Póster)

Ámbito del caso (Atención Primaria, servicios de Urgencias o atención domiciliaria)

Atención Primaria.

Motivos de consulta

Paciente mujer de 58 años de edad que acude a consulta por presentar tumoración de reciente aparición en ingle derecha. 

Historia clínica

Antecedentes personales relevantes, anamnesis, exploración física y lugar que ocupa en ella la ecografía

Paciente mujer con antecedentes personales de neurofibromatosis tipo 1, que hace unos días se nota bultoma en cara interna de pierna derecha a nivel inguinal
A la exploración se palpa masa dura, móvil, no dolorosa a la palpación de aproximadamente 5 cm de diámetro. 
Se decide realizar ecografía POCUS.

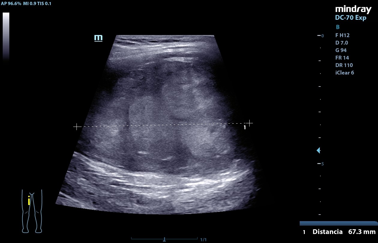
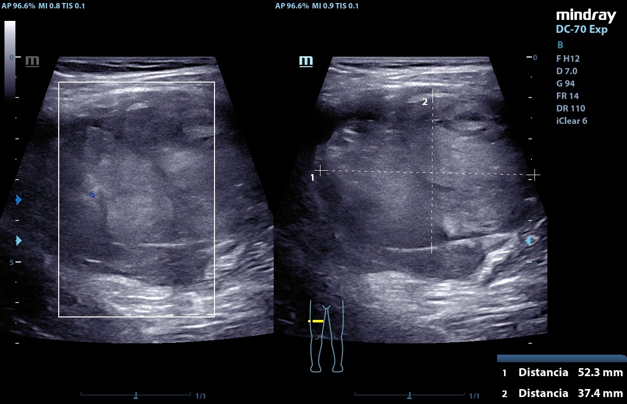
Descripción de los hallazgos ecográficos y las imágenes más relevantes para la resolución del caso

Ecografía POCUS (20/09/24): masa heterogénea de centro hiperecogénico, de bordes bien definidos, Doppler negativa de aproximadamente 52,3 mm x 37,4 mm x 67,3 mm compatible con neurofibroma plexiforme. 

Otras pruebas complementarias realizadas (si existen)

RMN (16/10/24): Tumoraciones en ambas piernas y cutáneas sugestivas de neurofibromas plexiforme bilateral y cutáneos. En la pierna derecha la masa no pierde planos con nervio safeno principal pero contacta focalmente con vena femoral profunda. En la pierna izquierda contacta lateralmente con el nervio safeno izquierdo y el paquete vasculonervioso femoral en región inguinal.

Juicio clínico, diagnóstico diferencial, concordancia con el hospital (en su caso)

Juicio clínico: Neurofibroma plexiforme.
Diagnóstico diferencial: meningiomas ectópicos, neurinomas, neurilemomas, hemangiomas, sarcomas, linfomas.

Decisiones adoptadas: tratamiento, planes de actuación

Se decide derivar a dermatología y traumatología para valorar excéresis de la lesión. 

Evolución y seguimiento

Pendiente de valoración por traumatología. 

Conclusiones y aplicabilidad para la medicina de familia

La neurofibromatosis tipo 1 enfermedad de von Recklinghausen es una enfermedad neurocutánea, multisistémica, de origen hereditario autosómico dominante.

Su lesión distintiva son los  neurofibromas predominantemente del sistema músculo-esquelético, que se pueden desarrollar en cualquier parte del cuerpo y presentarse a cualquier edad, siendo los más comunes los neurofibromas localizados, sin embargo una forma de presentación rara pero patognomónica, es el neurofibroma plexiforme.

La prevalencia de malignización de estos tumores oscila entre el 2 al 5%, siendo más frecuente en el caso de los neurofibromas plexiformes.

La ecografía es la técnica de elección para el diagnósitico de la mayoría de los tumores de partes blandas, y aunque es poco específica para el diagnóstico del neurofibroma plexiforme (habitualmente se presenta como una lesión hipoecogénica de límites bien definidos, que parecen un "tiro al blanco", como una masa fusiforme de centro hiperecogénico rodeada por tejido hipoecogénico) es importante conocerlo y saber identificarlo debido a su potencial de malignización.

 


Comunicaciones y ponencias semFYC: 2025; Comunicaciones: Casos clínicos. ISSN: 2339-9333

Autores

Niño Azcárate, Cristina María
CS Ofra Miramar. Santa Cruz de Tenerife
Franco García, Beatriz
CS Ofra Miramar. Santa Cruz de Tenerife
Molina Papparotti, Romina
CS Ofra Miramar. Santa Cruz de Tenerife