V Jornadas de Ecografía de la semFYC

9 y 10 de febrero de 2024

Comunicaciones: Casos clínicos

Pólipo vesical en paciente con clínica de hipertrofia benigna de próstata (póster)

Ámbito del caso

Atención Primaria

Motivos de consulta

Varón de 65 años que consulta por dificultad miccional de varios años de evolución.

Historia clínica

Enfoque individual

Presenta Diabetes Mellitus con mal control glucémico, en tratamiento con metformina/sitagliptina cada 12 horas; y dislipemia, con atorvastatina 40 mg. Cuenta dificultad para iniciar la micción por la mañana de unos 4 años de evolución, con disuria. Nictura unas 4 micciones/noche. No poliaquiuria ni tenesmo. A la exploración física, no lesiones en glande ni secreción uretral, abdomen sin interés. Es camionero con viajes internacionales cada 3 semanas. Se decide realización de ecografía genitourinaria.

Hallazgos ecográficos

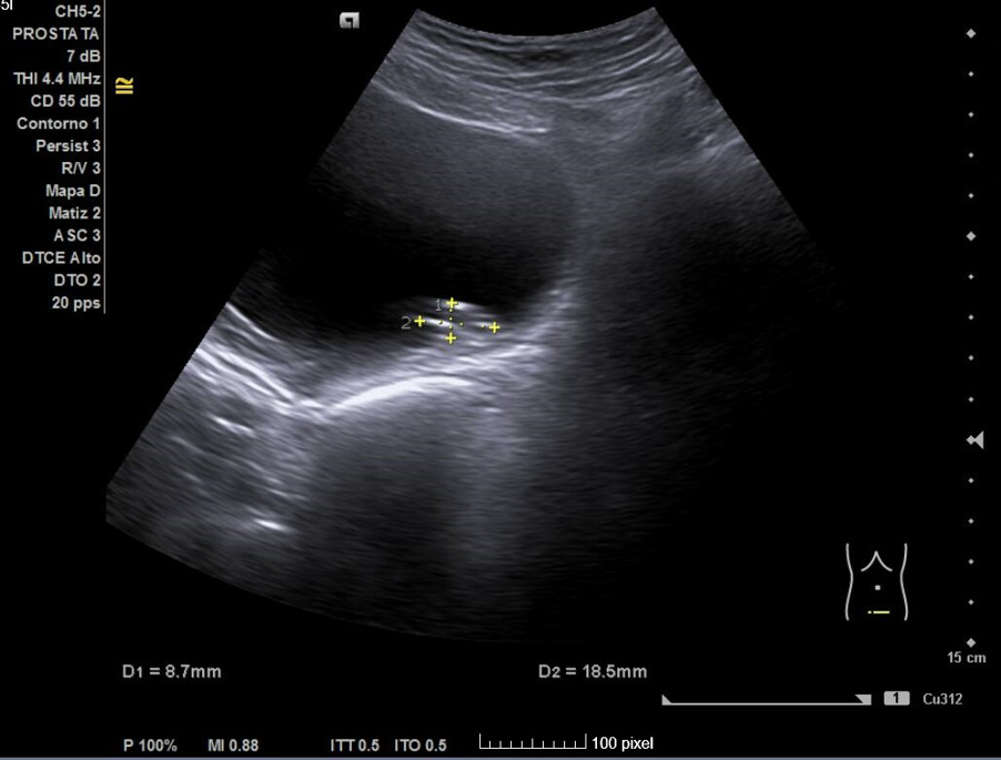
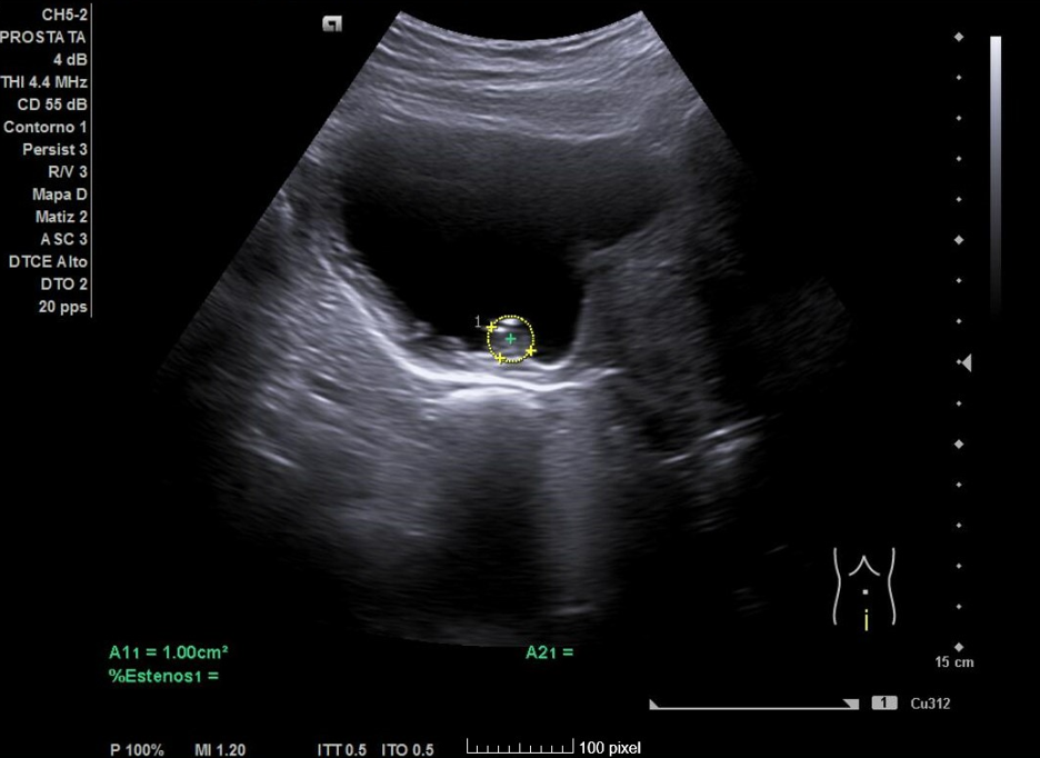
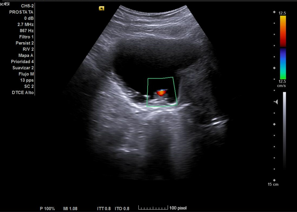
Primera ecografía: Riñón derecho de 9,6 cm, izquierdo de 9,5 cm, escoestructura y morfología normales. Vejiga con aumento de grosor de pared, residuo premiccional y posmiccional similares en torno a 350 cc (probable vejiga de lucha). Pólipo vesical a expensas de pared inferior izquierda de 18,5 x 8,7 mm. Jet ureteral bilateral conservado. Próstata de 110 cc. Se repite ecografía al mes: Pólipo vesical de 14 x 9,7 mm, próstata de 119 cc, vejiga con volumen premiccional 469 ml y posmiccional 400 ml.

Pruebas complementarias

  • Se realiza analítica de orina con leucocituria sin nitritos. En urocultivo S. agalactiae sensible a penicilina. Se pauta amoxcilina-clavulánico y nuevo control analítico.

Juicio clínico, diagnóstico diferencial, identificación de problemas

  • Se comprueba hipertrofia prostática; además, se observa pólipo vesical de etiología no filiada (a descartar neoplasia vesical).

Tratamiento y planes de actuación

Se inicia tratamiento con dutasterida/hidrocloruro de tamsulosina 0,5 mg/0,4 mg, 1 cp/día y derivación preferente a Urología por Interconsulta no presencial, que solicita citoscopia. 

Evolución

En control de urocultivo, ausencia de infección urinaria. El paciente, por sus dificultades laborales, no se realiza cistoscopia; está pendiente de cita en noviembre-23.

Conclusiones (y aplicabilidad para la Medicina de Familia)

La realización de ecografía en la consulta de Atención Primaria, facilita un diagnóstico temprano y certero de patología habitual como la hiperplasia benigna de próstata. Además, permite descartar otros procesos malignos o, si se sospecha uno, permite derivar de forma preferente con imágenes iniciales que pueden orientar el diagnóstico, agilizar los tiempos de espera y disminuir el inicio de tratamiento. Al ser una prueba poco invasiva y accesible, es más probable que los pacientes puedan acudir y acceder a realizarla en el Centro de Salud, también permite al facultativo informar de los hallazgos durante la misma.
 
 
 
 

Comunicaciones y ponencias semFYC: 2025; Comunicaciones: Casos clínicos. ISSN: 2339-9333

Autores

Sarabia Contreras, María Consolación
Profesor Jesús Marín. Molina De Segura
Rubio Baños, Ana Isabel
Profesor Jesús Marín. Molina De Segura
Galindo Marqués, Blanca
Profesor Jesús Marín. Molina De Segura