Comunicaciones: Casos clínicos

En ocasiones, una imagen vale más que mil palabras (Póster)

Ámbito del caso (Atención Primaria, servicios de Urgencias o atención domiciliaria)

Atención Primaria.

Motivos de consulta

Diarrea y pérdida de peso.

Historia clínica

Antecedentes personales relevantes, anamnesis, exploración física y lugar que ocupa en ella la ecografía

Hombre de 62 años con antecedente de viaje a México hace un mes, durante el cual ha presentado diarrea intermitente, acompañada de una pérdida de peso de alrededor de 10 kg. A la exploración física, como único hallazgo relevante, se observa un tinte subictérico, por lo que se decide realizar una ecografía clínica.

Descripción de los hallazgos ecográficos y las imágenes más relevantes para la resolución del caso

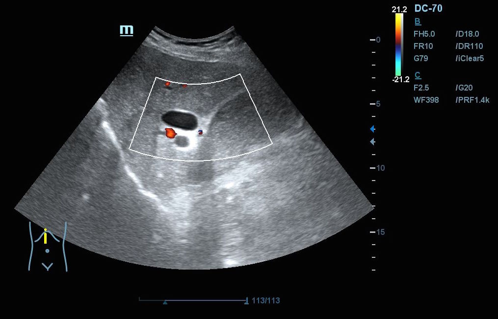
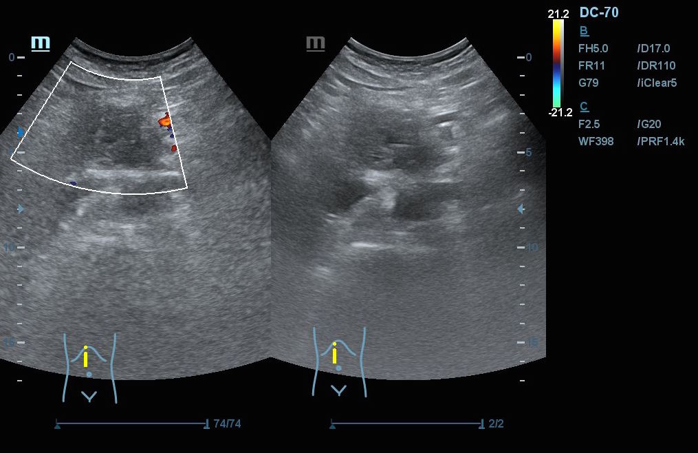
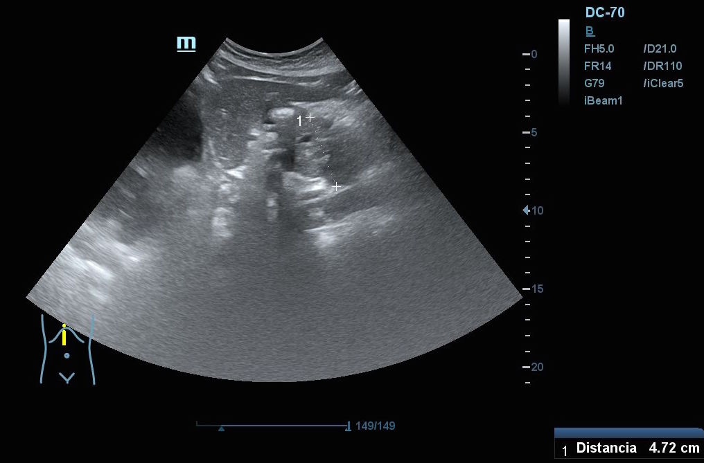
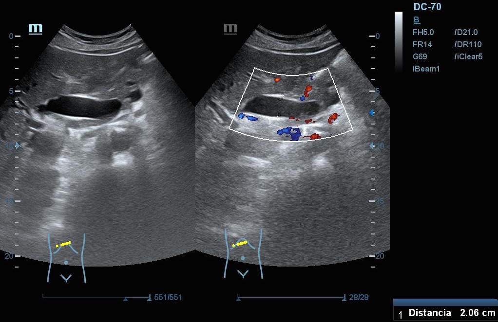
Hallazgos ecográficos: En el epigastrio se observa una imagen anecoica tubular, sin captación en Doppler, con un diámetro mayor a 2 cm, que sugiere una dilatación del colédoco (imagen 1). La vesícula biliar se encuentra completamente distendida y hepatizada, con una imagen en «doble cañón de escopeta» sugestiva de colestasis (imagen 2). En los cortes longitudinales se identifica una masa anterior a la aorta en el corte paramedial izquierdo, aparentemente localizada en el cuerpo del páncreas (imagen 3). En los cortes transversales se observa una masa que afecta tanto al cuerpo como a la cabeza del páncreas (imagen 4).

Otras pruebas complementarias realizadas (si existen)

En la resonancia magnética se confirma la presencia de una masa en la cabeza y el cuerpo del páncreas. También se observa dilatación de la vía biliar intrahepática y extrahepática e invasión de los vasos mesentéricos superiores, la vena porta y la arteria hepática.

Mediante colangiopancreatografía retrógrada endoscópica (CPRE), se realiza una biopsia que confirma la presencia de un adenocarcinoma pancreático.

Juicio clínico, diagnóstico diferencial, concordancia con el hospital (en su caso)

Adenocarcinoma pancreático.

Decisiones adoptadas: tratamiento, planes de actuación

Dado el grado de extensión del tumor se descartó la resección quirúrgica y se optó por un tratamiento combinado de radioterapia y quimioterapia, junto con terapia de soporte mediante medicación paliativa. Adicionalmente, se decidió la colocación de una endoprótesis biliar para resolver la obstrucción de la vía biliar y aliviar la hiperbilirrubinemia.

Evolución y seguimiento

El paciente falleció a los 12 meses.

Conclusiones y aplicabilidad para la medicina de familia

El uso de la ecografía en la consulta de Atención Primaria permitió confirmar de manera rápida, asequible y cercana una sospecha diagnóstica grave con una clínica inespecífica en una sola visita médica y sin mayores demoras, lo cual permitió disminuir la incertidumbre tanto del paciente como del profesional.

 

 


Comunicaciones y ponencias semFYC: 2025; Comunicaciones: Casos clínicos. ISSN: 2339-9333

Autores

Quevedo Curbelo, Jorge
CS Maspalomas. Las Palmas de Gran Canaria
Represas Domínguez, Cathaysa
CS Maspalomas. Las Palmas de Gran Canaria
Junco Acosta, Ana
CS Maspalomas. Las Palmas de Gran Canaria