V Jornadas de Ecografía de la semFYC

9 y 10 de febrero de 2024

Comunicaciones: Casos clínicos

El valor de la exploración (póster)

Ámbito del caso

Atención Primaria

Motivos de consulta

Mujer de 60 años que acude por dolor abdominal desde hace 1 semana.

Historia clínica

Enfoque individual

Mujer de 60 años, hipotiroidismo, ERGE bien controlada. Acude por dolor abdominal tipo cólico de 1 semana de evolucion en hipogastrio y fosa ilíaca izquierda con sensación de distensión abdominal y deposiciones blandas sin productos patológicos, no cuenta fiebre, no perdida de peso, no ha tenido episodios similares anteriormente. Exploracion no aspecto séptico, abdomen: blando, depresible, en FII presenta dolor a la palpación profunda sin una clara defensa. Dada la exploración decidimos realizar ecografía.

Hallazgos ecográficos

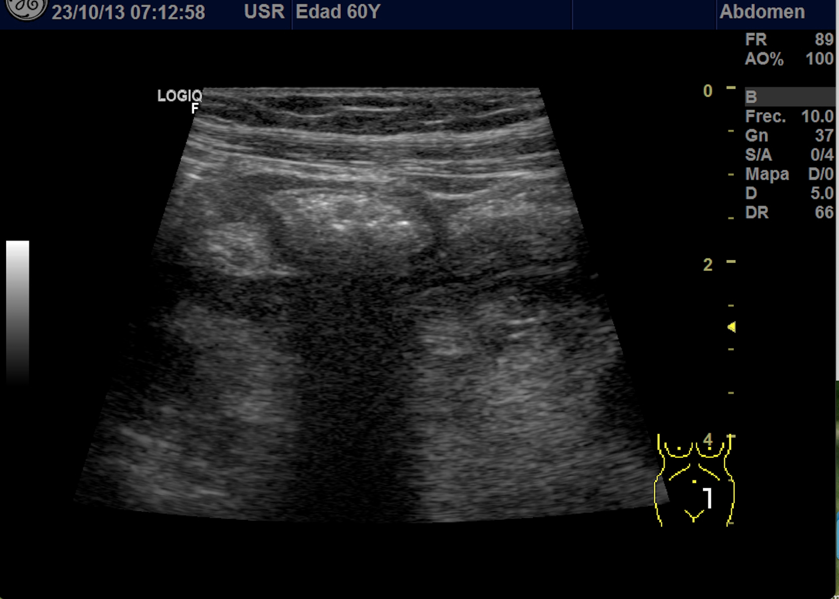
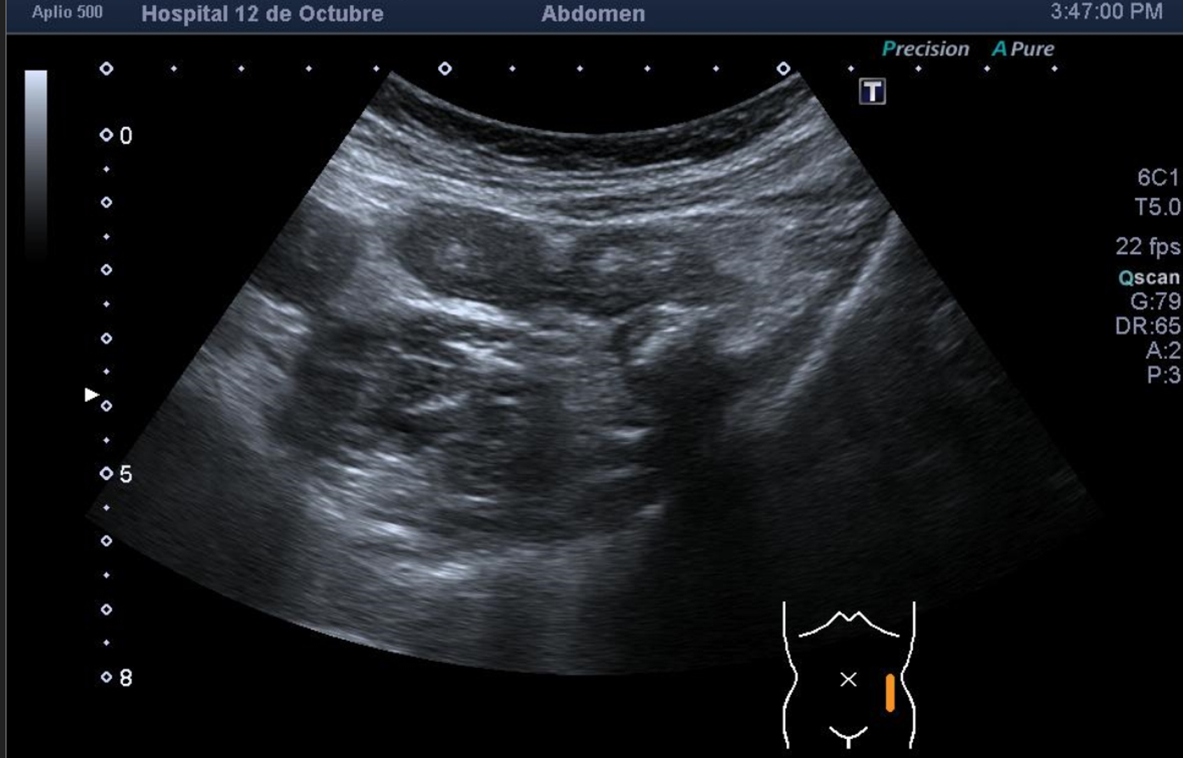
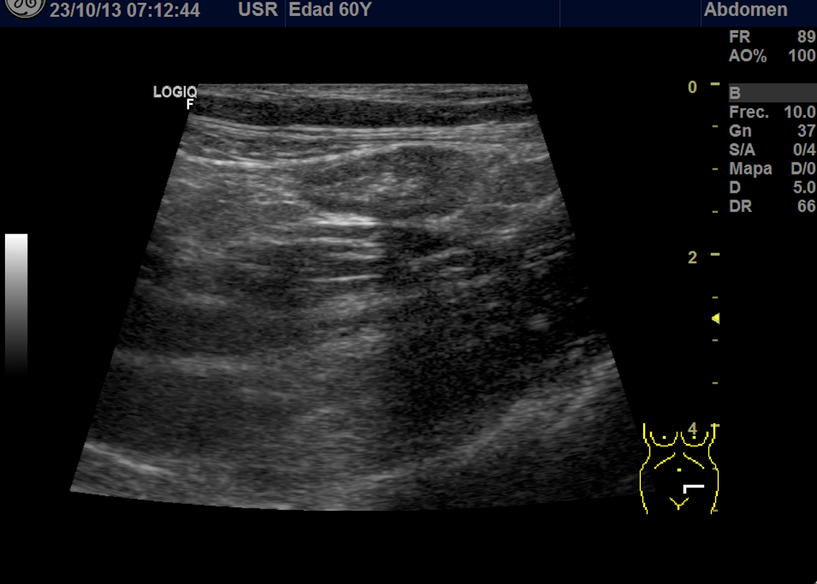
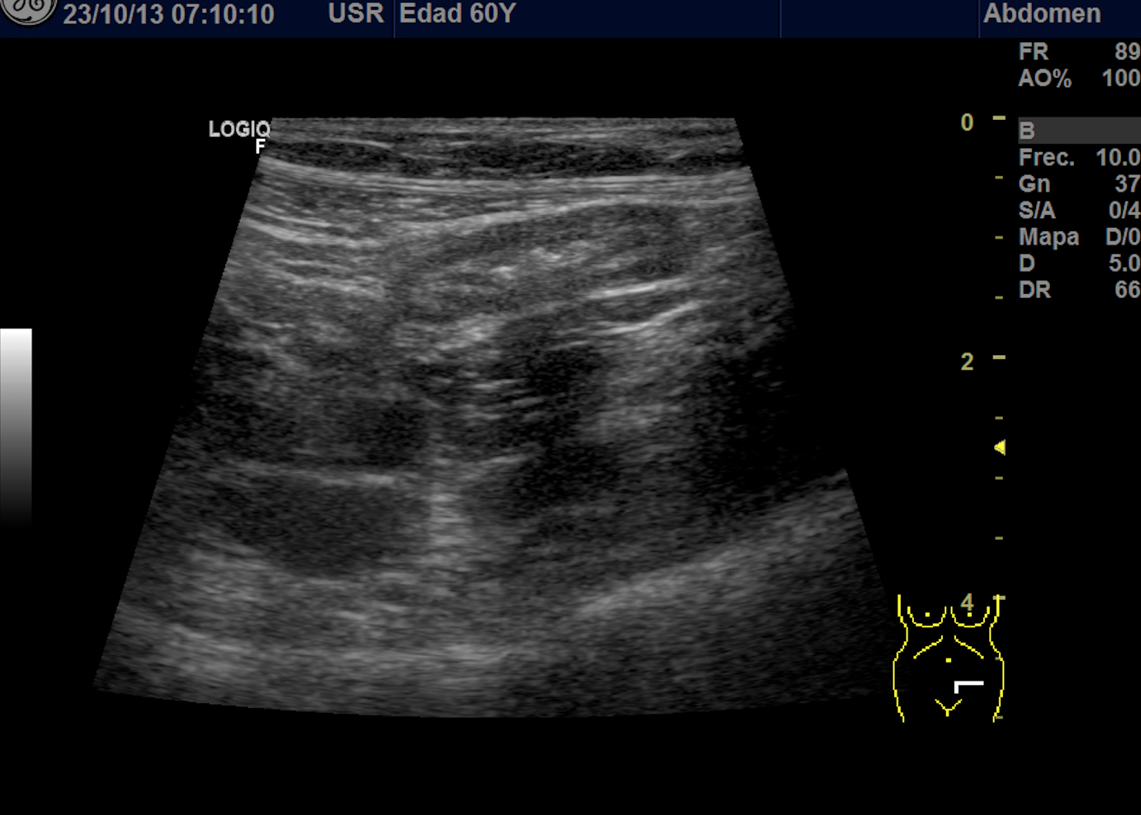
Se explora FII-hipogastrio y en el punto de más dolor se observa engrosamiento de asas de intestino grueso sin peristaltismo y con signos de edema de la grasa adyacente. No líquido libre.

Pruebas complementarias

También se realiza ecografia en urgencias del hospital.

Juicio clínico, diagnóstico diferencial, identificación de problemas

Ante la sospecha de diverticulitis aguda se deriva a urgencias hospitalarias.
En el hospital se realiza una nueva ecografía en el servicio de radiología confirmando el diagnóstico de sospecha: diverticulitis aguda en sigma distal sin datos de complicación. Hinchey 1A.

Tratamiento y planes de actuación

Se maneja de forma conservadora con analgesia y dieta.
Se cita para seguimiento y colonoscopia en 8 semanas.

Evolución

La paciente ha mejorado, permaneciendo asintomática y pendiente de la colonoscopia de control.

Conclusiones (y aplicabilidad para la Medicina de Familia)

El dolor abdominal en el seno de un proceso intestinal agudo es una reto para la medicina de familia, una exploración física concienzuda es básica y si además contamos con la ecografía podemos conseguir un diagnostico de mayor precisión con lo que esto supone para nuestros pacientes.
 
 
 
 

Comunicaciones y ponencias semFYC: 2025; Comunicaciones: Casos clínicos. ISSN: 2339-9333

Autores

Fernández Maestre, Sara
CS Puerta Bonita. Madrid
Romero Pineda, Elisa
CS Puerta Bonita. Madrid
Batista Cavrois, Alba
CS Puerta Bonita. Madrid