X Jornadas de Actualización en Medicina de Urgencias y VI Jornadas de Ecografía de la semFYC
6-7-8 de febrero de 2025
Servicio de Urgencias.
Dolor abdominal y vómitos oscuros.
Enfoque individual: antecedentes personales, anamnesis, exploración, pruebas complementarias, etc.
Hombre de 72 años, con EPOC y de ca rectal (alta actualmente). Acude por dolor abdominal en hipogastrio y testículos, 2-3 vómitos oscuros con tránsito conservado.
EF: Afebril. Estable. Auscultación: rítmico, hipofonesis generalizada Abdomen blando y depresible. No doloroso a la palpación. No se palpan masas ni megalias. No signos de irritación. RHAC. Murphy y Blumberg (-). Tacto rectal negativo.
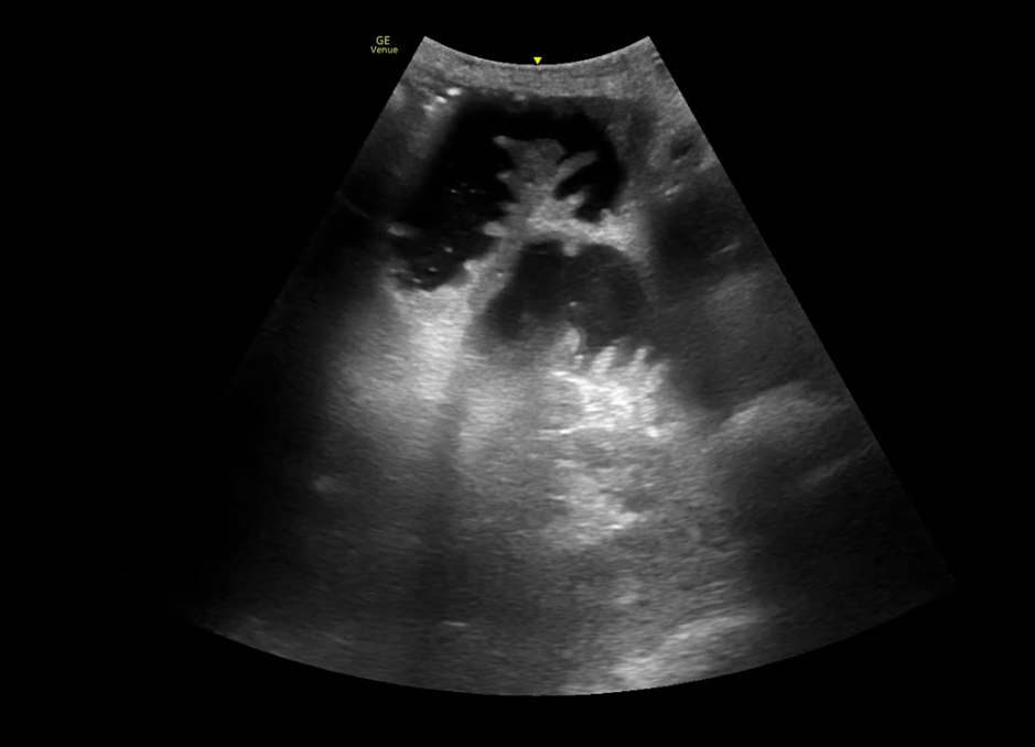
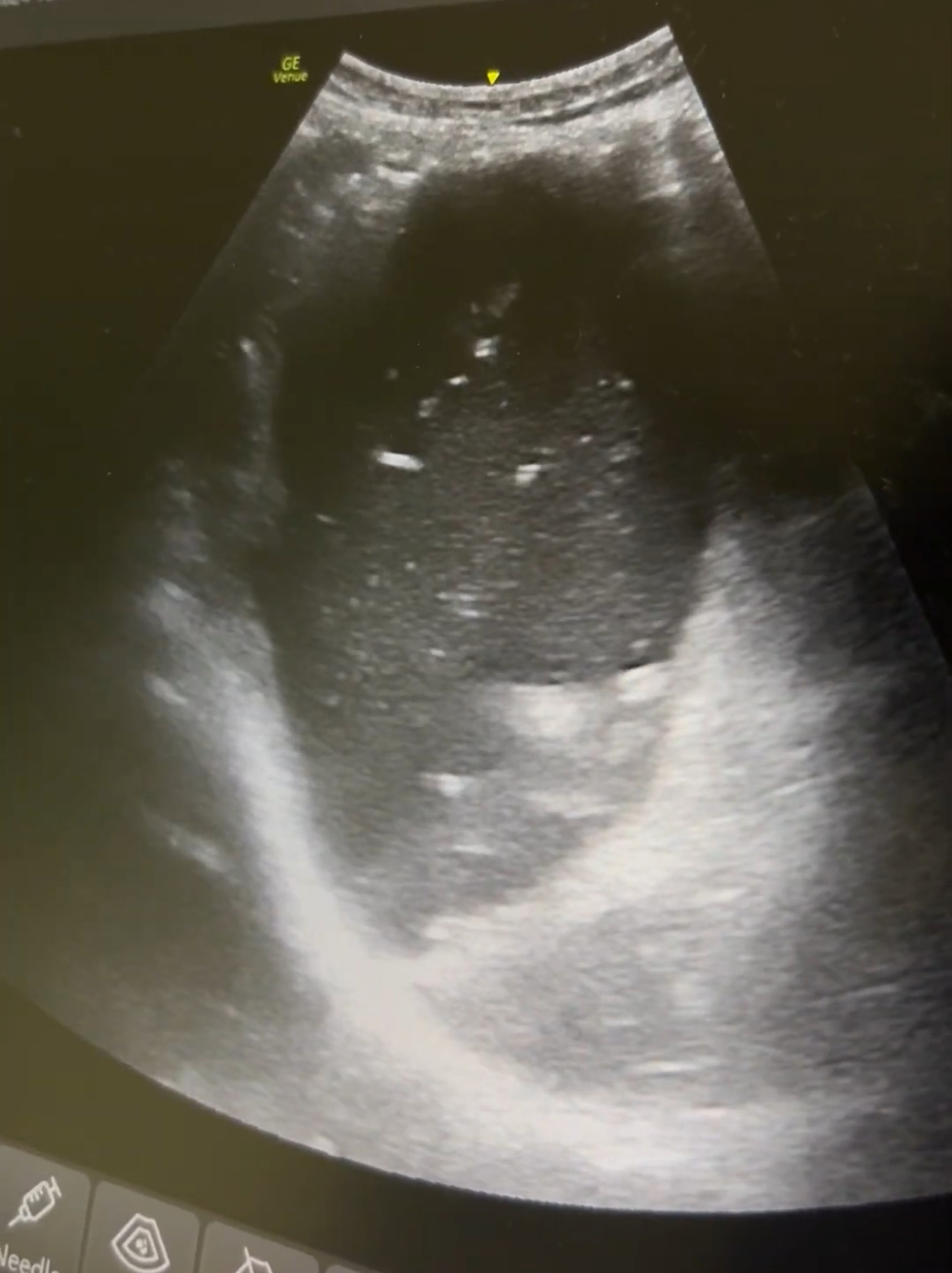
Ante AP de cirugía, dolor abdominal y vómitos, se realiza rx abdominal que resulta normal. Dada la alta sospecha, se realiza ecografía: gran cámara gástrica con contenido en su interior con dinámica «en lámpara de lava». Además, asas de intestino delgado dilatadas (diámetro 2,9 cm) con movimiento de peristalsis y rebote y edema de pared. Compatible con obstrucción intestino delgado.
Posteriormente TC abdomen: compatibles con obstrucción mecánica de intestino delgado.
Enfoque familiar y comunitario: estudio de la familia y la comunidad (si fuese necesario)
De la situación basal del paciente, el paciente es dependiente para algunas ABVD y es portador de oxigenoterapia 24 horas, debido al EPOC en situación de órgano terminal por el que está en seguimiento por Paliativos. Convive con su mujer, cuidadora principal.
Juicio clínico, diagnóstico diferencial, identificación de problemas
Tratamiento y planes de actuación.
Dada la disociación clínico-radiológica, y la situación respiratoria basal que podría contraindicar para la cirugía en caso de mala evolución del cuadro de obstrucción, se decide ingreso a cargo de Cirugía general para manejo conservador con dieta absoluta, sonda nasogástrica y gastrografin oral para realizar radiografía abdominal de control, que confirmó paso de contraste hasta recto.
Evolución
Durante el ingreso, recupera tránsito intestinal con deposiciones de color y/o consistencia adecuadas. Presenta buena tolerancia oral y buen control del dolor con analgesia oral. Ante buena evolución tanto clínica como analítica, se decidió alta hospitalaria a las 48 horas de ingreso.
Utilidad de ecografía abdominal en el ámbito de Urgencias hospitalarias o de Atención Primaria ante dolor abdominal agudo, en concreto para diagnóstico de obstrucción intestinal ante la sospecha y falta de radiografía simple de abdomen o ausencia de hallazgos sugestivos de la misma en la Rx abdominal simple y alta sospecha clínica.